转移性乳腺癌的警告信号
希拉·m·埃尔德雷德
健康的作家
虽然你并不总是得到一个警告信号,你的乳腺癌已经扩散在美国,了解症状是有帮助的。在某些情况下,早期发现可以防止更严重的副作用。此外,考虑转移性乳腺癌的危险因素这在某些方面与早期乳腺癌的风险因素不同。
最乳腺癌转移的常见部位是骨头、肺、肝和大脑。下面我们来看看这些症状。
骨转移的风险
超过一半的4期乳腺癌患者经历过骨转移据breastcancer.org网站报道。通常,乳腺癌扩散的第一个部位是骨骼,最常见的受影响部位包括肋骨、脊柱、骨盆、胳膊和腿骨。如果你怀疑癌症已经扩散到骨头上,尽快检查是很重要的,因为及时治疗可以防止骨折。
骨转移的迹象
注意突然出现的新疼痛,特别是休息或躺下后还没有消失的疼痛。其他症状包括:
- 不能移动(可能是骨折)
- 任何部位的麻木或无力
- 便秘
警觉性下降、疲劳、虚弱、恶心、食欲不振和脱水都可能是由于骨骼分解导致血液中钙含量上升的迹象。
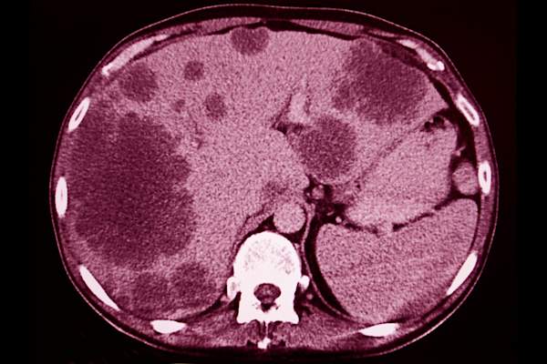
肝转移可能不会引起症状
你可能不是第一个注意到的乳腺癌扩散到肝脏;根据breastcancer.org的说法,通常情况下,没有任何迹象。
肝功能测试可以检测血液中酶和蛋白质的异常水平,这可能表明癌症已经扩散到肝脏。
肝转移的迹象
当肝转移确实引起症状时,可能包括:
- 腹痛或不适;恶心想吐
- 极度疲劳;弱点
- 减肥;缺乏兴趣
- 发热
- 腹胀
- 腿、脚和手的肿胀
- 皮肤或眼白发黄
- 皮肤发痒或起疹子
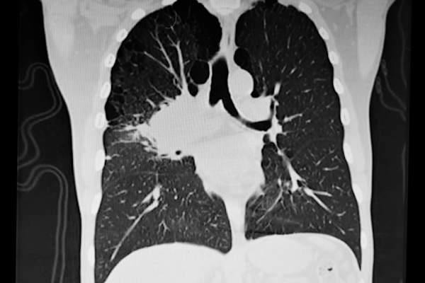
肺转移的迹象
当它确实引起症状时,这些迹象很难与普通感冒区分开来。如果问题持续了一两个星期以上,那就检查一下,breastcancer.org建议。
症状可能包括:
- 肺或胸部疼痛或不适
- 呼吸困难;喘息
- 持续的咳嗽
- 咳出血或粘液的
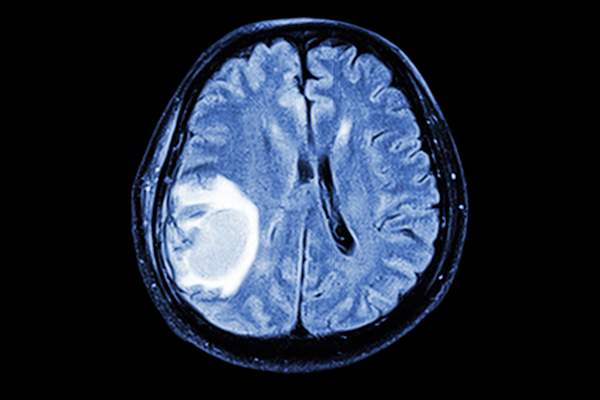
脑转移的风险
脑转移的迹象
症状可能包括身体上的和心理上的,可能包括:
- 逐渐加重的头痛和头部压力
- 模糊或重视
- 癫痫发作
- 呕吐和恶心
- 说话困难,包括说话含糊不清
- 行为、情绪或性格的变化
转移性乳腺癌的诊断
如果你确实有上述任何迹象和症状,各种测试都会有所帮助诊断转移性乳腺癌,包括:
- 血液测试
- 全身骨扫描
- 脊柱或大脑的核磁共振成像
- 胸部、腹部、骨盆和/或大脑的CT扫描
- PET扫描
- 腹部或胸部的x光片或超声波
- 支气管镜检查
- 活组织检查
- 从脊髓或肺与胸壁之间的区域“敲打”或液体清除