//www.lacosti.com/slideshow/how-ra-infects-men-and-women-different
类风湿关节炎 症状

你的性别对类风湿性关节炎意味着什么

查看:LIST|幻灯片
坐在白色台阶上的男女
谭DANH

男人女人和孩子吃完晚饭一起
紫杉醇

性别和年龄在类风湿关节炎中的作用


一个女人在脸上挤一个疙瘩
iStock

激素可能会触发


笑花附近的高级女子
埃杜·卡瓦略

女人的风险在一生中波动


孕妇
卢卡斯·门德斯

计划怀孕是关键


背着女人的男人
反斜杠

男人和女人认为RA不同的方式


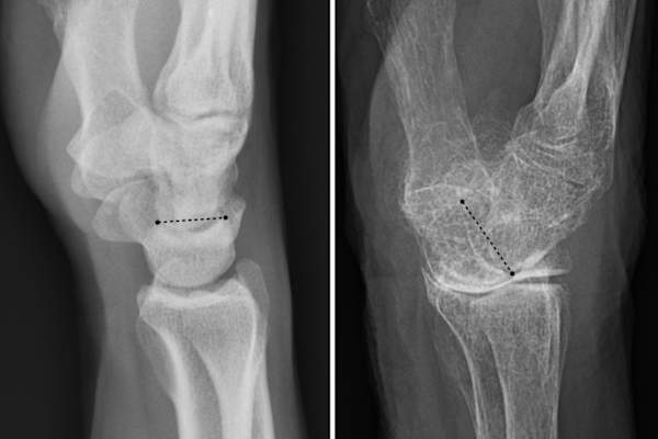
一个正常的手腕(左图)和一个(右图)由于骨质疏松导致腕关节倾斜。
一个正常的手腕(左图)和一个(右图)由于骨质疏松导致腕关节倾斜。 Nevit Dilmen和的MikaelHäggström

患有类风湿关节炎的妇女患骨质疏松症的风险更高


医生在病人手臂上使用听诊器
iStock

年轻男性RA患者在心血管疾病的风险


使用阻力带的练习课
吉特皮特斯

男女可以提高他们的RA成果


高瑞文凯琳

高瑞文凯琳

@卡林戈雷尔

高瑞文凯琳是一个长期致力于健康和保健的编辑和作家。她是在原总编辑瑜伽杂志,并已在众多获奖的杂志,包括工作自我,红皮书今日心理学。她促成几个网站,包括斯巴达,SheKnows和Dr.WhitneyBow和YogaJournal。