7令人惊讶的迹象,你可能有糖尿病
而490万年美国西班牙裔成年人已被诊断出患有糖尿病,专家估计另外150万人患有糖尿病,甚至不知道它,甚至不知道它,根据疾病控制和预防(CDC)的中心。
问题的一部分:2型症状可以发展多年。“症状起初可能是微妙的,但它们往往会随着时间的推移进步和恶化,”斯坦福大学的斯坦福大学项目回声糖尿病诊所主任,在斯坦福大学,在斯坦福大学,纳斯坦福大学。
极度口渴和频繁排尿是糖尿病最常见的症状之一;让我们来看看一些鲜为人知的症状。
没有症状
由于遗传和环境的风险因素,美国的西班牙裔成年人有50%的机会患上糖尿病2型糖尿病, 据CDC称。值得重复是您可以患糖尿病并且没有症状的信息。
“想想你的家人有多少人,”斯坦福大学医学院临床教授戴安娜纳那茹说。位于加利福尼亚州帕洛阿尔托,纳拉诺博士与糖尿病博士合作。“如果一半可能发展2型糖尿病,这意味着每个人都应该经常筛选。”
疲劳
你的身体把食物转化为葡萄糖以提供能量。糖尿病干扰了这一过程,导致疲劳。因此,如果你经常或深度疲劳,你的医疗服务提供者会想知道。
然而,对于西班牙裔/拉丁裔患者来说,在没有被直接询问的情况下,他们不愿意提及自己的症状,这并不罕见。“有一种‘respeto’的文化概念,意思是尊重医疗专业人员。正因为如此,拉丁裔病人通常不会反对医生的意见,”纳兰霍说。但医生们真的很喜欢尽可能多的信息。
疮慢慢愈合的疮
伤口或伤口愈合缓慢可能是糖尿病的迹象,如果你有糖尿病,伤口更容易感染。即使损伤不是由糖尿病引起的,慢性伤口也会导致严重的并发症。如果疼痛或伤口有以下情况,请咨询您的医疗服务提供者:
- 一次又一次地开始小而痂,但不会变得更好
- 徘徊了几个星期
- 显示感染迹象,包括发红,温暖,温柔或脓液
再一次,高血糖是罪魁祸首。糖尿病产生的额外葡萄糖会抑制血液流动,干扰身体的自然愈合过程。
无意的减肥
如果你减肥,并且一直感到饥饿 - 即使你正在吃很多 - 立即联系我们的供应商。这些可能是更晚期糖尿病的症状。
监测您的体重随着时间的推移是经常查看您的医疗保健提供者的另一个原因。西班牙裔美国人的肥胖率较高,这是糖尿病的额外危险因素,并且往往比非西班牙裔美国人的身体活跃更少。降低你的身体质量指数任何剂量都有助于降低患糖尿病的风险。
纳兰霍说:“即使是运动和饮食方面的微小变化也会有很大影响。”
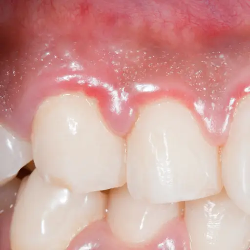
红色,肿胀,嫩牙龈
患有糖尿病的人更容易有口香糖疾病。症状包括红色,肿胀和嫩牙龈。当葡萄糖水平因糖尿病而上升时,唾液中的糖水平增加。糖喂嘴里的细菌。食物与细菌和食物结合形成斑块,这是一种可引起牙龈疾病,蛀牙和口臭的粘性薄膜。
反过来,牙龈疾病会导致炎症,这也增加了葡萄糖水平,使得糖尿病更难。好消息是治疗牙龈疾病实际上可以随时间降低葡萄糖水平。
黑暗,天鹅绒般的皮肤折叠
马萨诸塞州波士顿乔斯林糖尿病中心的内科医生、哈佛医学院副教授西尔维娅·罗萨斯医学博士说,在身体褶皱处,通常是颈部、腋窝或腹股沟处,皮肤颜色深、厚、柔软,这可能是糖尿病的征兆。
这种情况被称为黑棘皮病,通常发生在糖尿病或肥胖的人身上。梅奥诊所称,患有这种疾病的儿童患2型糖尿病的风险更大。
据美国疾病控制与预防中心称,尽管糖尿病可能发生在任何年龄,但儿童和青少年中新诊断出的2型糖尿病病例持续上升。西班牙裔/拉丁裔是增长最快的群体之一。
视物模糊
据美国糖尿病协会(American Diabetes Association)称,糖尿病是18岁至64岁人群视力下降的主要原因,但每年进行一次眼科检查可以预防95%的由糖尿病引起的视力下降。如果你的视力模糊,寻求立即医疗。它可能是糖尿病的症状或更严重的东西。
糖尿病产生的额外葡萄糖从眼睛中抽取液体,导致晶状体肿胀。随着时间的推移,这会损害视网膜中的微小血管。这可能导致视力变化或无明显症状。眼科医生可以在你经历其他糖尿病症状之前,通过眼部扩张检查发现这种损伤。
比平常感染更多
糖尿病会削弱人体的免疫系统,使糖尿病患者更容易受到感染。这在一定程度上是因为高葡萄糖水平为细菌的生长创造了一个更友好的环境,并使感染发展得更快,持续的时间更长。
根据感染控制和流行病学专业人员协会(APIC)的数据,糖尿病患者最常见的感染有:
- 耳朵,鼻子和咽喉感染(包括真菌感染)
- 尿路感染(UTI)
- 皮肤和软组织感染
根据APIC,未控制的糖尿病是UTIs的主要原因之一。肾脏感染和膀胱炎症也是糖尿病患者的常见问题。
参加个人风险测试
“症状随着时间的推移而发展,可能因人而异,”罗萨斯博士说。“重要信息是您需要查看您的医疗保健提供商,如果您面临风险,您需要筛选。”
最重要的是,西班牙裔/拉丁裔美国人有糖尿病和前驱糖尿病的遗传和环境风险因素,这是通常没有症状的糖尿病的前兆。如果你有糖尿病前期,你患2型糖尿病的风险就更高。
想要了解更多关于个人风险的信息,请收听疾控中心的1分钟节目Prediabetes风险测试(有西班牙语和英语版本)。然后和一个值得信任的提供商谈谈你的结果和下一步。
糖尿病症状:疾病控制和预防中心(2020).“糖尿病的症状。”cdc.gov/diabetes/basics/symptoms.html.
1型糖尿病:美国糖尿病协会。(未标明日期的)。1型概述:糖尿病症状糖尿病.org/diabetes/type-1 /患有
2型糖尿病:美国糖尿病协会。(未标明日期的)。“2型概述:糖尿病症状。”diabetes.org/diabetes/type-2/symptoms
2020年统计数据:疾病控制和预防中心(2020)。“2020年国家糖尿病统计报告。”cdc.gov /糖尿病/ pdf /数据/数据/ national-diabetes-statistics-report.pdf
拉丁裔和2型糖尿病:疾病控制和预防中心(2019年)。“西班牙裔/拉丁裔美国人和2型糖尿病。”cdc.gov/diabetes/library/features/hispanic-dabetes.html.
糖尿病和口香糖问题:国家糖尿病消化和肾脏疾病研究所。(2014)."糖尿病,牙龈疾病和其他牙科问题"niddk.nih.gov /信息/糖尿病/ /预防/ gum-disease-dental-problems概述
糖尿病和眼部健康:美国糖尿病协会。(2020).公共卫生倡议:“关注糖尿病”。eyehealth.diabetes.org
糖尿病和皮肤变黑:梅奥诊所。(2020).“黑棘皮症”。mayoclinic.org/diseases -conditions/acanthisis-nigricans/symptoms-causes/syc-20368983
伤口和糖尿病:克利夫兰诊所。(2020).“为什么你不应该忽视不会愈合的伤口。”health.cley.clevelandclinic.org/why-you-shouldnt-ignore-a-wound-that-wont-heal/
感染和糖尿病:传染病和流行病学专业人士协会。(未标明日期的)。“糖尿病,感染和你。”apic.org/monthly_alerts/diabetes-infections-and-you/
伊丽莎白Dougherty是一位专门从事母婴健康的养育作者。她经常为BabyCenter写作,她的母亲系列关于怀孕期间的抑郁症和产后抑郁症的故事赢得了数字健康奖。超过30年的发展编辑,伊丽莎白还教授书籍作者并与女性领导人合作,以放大他们的声音。